ひどい虫歯の治療例:22歳 女性 22歳 女性 ~前歯をきれいにしたい~ 前歯が虫歯になってしまい、歯医者が苦手でなかなか来院できず、ついに前歯が折れてしまったため、とても気になり、ネットで「 歯科恐怖症 でも対応している女性歯科医の歯科医院 "恐がりな女の子の虫歯治療" is episode no 1 of the novel series "虫歯の女の子" It includes tags such as "虫歯治療", "女子高生" and more 雛乃と佳奈は高2の女の子である。 雛乃は元気で明るい性格であり、いつもクラスの中心にいるような女の子である。 一方、佳奈は小柄でおとなしい性格であり、まさに虫歯&銀歯の女の子 乳歯のひどい虫歯のせいで、永久歯が自然に生え変わる前に抜歯されていた。 そのおかげで、歯並びはがたがた。 前歯に虫歯なんて・・・どうしよう」と亜紀子は心の中で

虫歯だらけの女が歯医者に通う話 歯医者トラウマだし 前歯ボロボロが綺麗になった ぺぺの映画備忘録
女の子 前歯 虫歯 ひどい
女の子 前歯 虫歯 ひどい- 18歳当時:上前歯4本を抜髄し歯冠を削り落として屈曲金属コア付の差し歯をアーチ形に並ぶように曲げて挿して虫歯と出っ歯を直した。 差し歯の裏は全部真っ黒けだった。 26歳当時: 下前歯2本に黒ずみ(虫歯?ヤニ?) があった。 子供の虫歯がひどい(虫歯だらけ)。 どうしたらいい? まず、虫歯になってしまった原因を考えましょう。 そして早く歯医者さんに行くのが基本です。 歯医者さんに行くことが目的ではありません。 第一目標は治療することですが、原因の除去をし



横浜 小児歯科 フッ素塗布 あおばデンタルクリニック 横浜市青葉区
Contents1 虫歯の治療の後の痛みはどれくらいで治りますか?11 11虫歯を取る方法12 12虫歯を取ると必ず神経(歯髄)は傷むのか?13 13痛みが出た場合はどれくらいで治るのか? 虫歯 女の子 虫歯 女の子The novel "虫歯っ娘詰め" includes tags such as "オリジナル", "虫歯" and more 「お誕生日おめでとうさぁケーキよ」 「わーいケーキだ!」 自分の好きなチョコケーキということもあり、日頃の違和感など忘れて勢いよく頬張った。ひどい虫歯の症例:29歳 ほとんど全ての歯が虫歯でどこが痛いのか分かりにくい状態でした。 「右下の一番奥の歯が痛い」と来院され、確かに大きな穴があいていましたが、診査してみると、右下の奥から2番目の歯が痛みの原因でした。 表面は小さい穴
Mixi2歳児3歳児の取り扱い説明書 〆ひどい哺乳瓶虫歯で悩んでます。 12年01月22日 0532 哺乳瓶でイオン水を飲ませていました。 最初は熱が出た時に軽い気持ちで飲ませていたのですが、 私は母乳が出なかったので、粉ミルクを飲んでも飲んでも欲しがって泣く時は、イオン水を少ひどい虫歯の治療例(38歳女性) 治療前 全体的にひどい虫歯でいらした方です。 写真では、前歯の両脇の歯は、すべて抜歯になりそうな歯に見えます。 しかし幸いなことに、歯の根はしっかり残っていたので、他の歯も含めて、抜歯しないで治療するブリッジの症例写真 オールセラミッククラウン2本、メタルボンド9本 この方は前歯や奥歯が虫歯で すでに抜けてしまっている部分もありました。
虫歯だらけの女が歯医者に通う話。 歯医者トラウマだし、前歯ボロボロが綺麗になった 筆者のこと 雑記 まったーーく映画に関係ない話を入れさせてください。 私現在歯医者に通ってます。 正確には何度も歯医者を逃げ出したけどなんだかんだ説得さひどい虫歯の治療法。進行ストップさせ食べ物を噛んで食べれる方法 ひどい虫歯治療法。進行ストップさせ食べ物を噛んで食べれる方法音声 内容は同じですので、音声を聞けば本文は読む必要はあり こんにちは、巣鴨ヴェリ歯科クリニックの田島です。 ひどい虫歯の方の症例2 概要 女性 40代前半 放送関係 患者Mさんは極度の痛みに弱い方で、歯科治療に対してどうしても痛みが耐えれなく虫歯を長年ほっといていました。 その結果多くの歯を失ってしまい、しっかり噛めれるようになり




上下とも前歯の隣の歯が内側に凹み下に関しては特に酷いです 矯正治療のスーパーカウンセラー 歯並びtv




前歯が酷い虫歯です 前歯が酷い虫歯で欠けたり内側にまで虫歯が進行し 歯科衛生士 歯科助手 教えて Goo
神戸三宮の高田歯科|他院で受けたひどい治療にお悩みを抱えた症例 1000~00 土1000~1700 定休日|日曜・祝日 初めての方へ 医療体制 設備紹介 よくある質問 対談インタビュー 保存治療ひどい虫歯の症例その4 まずは治療後の写真から ひどい虫歯治療概要 患者様は32歳 女性 虫歯が多く治療にやってきた患者様です。前歯のかぶせ物の色が合わない。奥歯の虫歯が多くて噛みにくくなっている。 で来院された患者様です。 治療前の状態 右側年以上前に治療した銀歯の下が虫歯に。 発見が遅くなり根管治療を行う 当時通院していた歯科医院は予防歯科に力を入れているため、4か月に1回ほどの割合で顕微鏡検査とクリーニングを行っています。 その際新しい虫歯があれば教えてもらい、次回




前歯に虫歯ができてしまったら デンタルケア神谷町の独り言 F Deep Breathing Of Dental Care Kamiyacho




前歯が大きく 口を閉じても隙間から見え 笑うと 前歯二本だけ浮いて見えます 矯正治療のスーパーカウンセラー 歯並びtv
「虫歯=痛い」 一般的に虫歯はこういうイメージじゃないかと思います。 ですが虫歯の段階によっては痛みがでない状態があります。 「なぜ痛みがでないのか?」が気になるところですが、この理由は「軽い虫歯だから」と言ってしまってもいいのですが、実は!ひどい虫歯の治療 歯周病(歯槽膿漏)の治療 名古屋市・中村区・名駅の歯科・歯医者・歯科医院 みやかわデンタルクリニック・インプラント・審美・セラミック・愛知県 今なら何とか残せるものも、1~2ヶ月であれよと言う間に保存不可能になってしまう場合だってあります。 いろいろ大変かとは思いますが、頑張って治療に臨んで下さい。 タイトル 写真あり 幼稚園以来一度も歯科通院したことがなく、ひどい虫歯




彼女の虫歯について意見お願いします 1年ほど付き合っている彼女がい その他 恋愛相談 教えて Goo




私は 全ての歯が虫歯による治療を受けて差し歯や冠を被せてあります 下顎はブリッジが一箇所あります こんなひどい 歯でも矯正はできるのでしょうか 矯正したいと思った理由は 噛み合わせが低くなってきて 前歯が突出してきて発音しずらくなったからです 矯正
ひどい虫歯の治療例(47歳女性) 治療前 上の歯全体がすべてがひどい虫歯で、いらした方です。 一見すると、もうどうしてよいかわからないような状態ですが、診査の結果、歯の根はわりあいしっかりしていましたので、クラウンレングスニングなどの 子どもの虫歯を放っておくと この記事の目次 1乳歯の虫歯がひどいと歯並びが悪くなる? 2乳歯の虫歯が与える影響 永久歯も虫歯になりやすい歯に 顎の成長をさまたげる 食べ物が偏ってしまう 3乳歯が虫歯になったときの歯医者さんの治療 初期の こんにちは、ヴェリ歯科クリニック院長の田島です。 先生『〇〇さん。普段の歯磨き、特に前歯はどのようにケアしていますか。』 患者さん『先生。前歯の磨き方は、ものが挟まらないよう歯間ブラシをいつも使うようにしているんです。』 先生『。。。実はその磨き方、あまり勧められ



1




出っ歯を治す方法 出っ歯のタイプ別原因と対策 矯正治療について
前歯部の抜歯 仮歯装着 抜歯後2ヶ月 その他の初期治療を進める 左下5番7番 歯周組織再生療法 途中経過 カリエス(虫歯)処置 左上 虫歯の治療 咬合面から遠心にかけての虫歯




虫歯 ビフォー アフター症例写真集 ザ ホワイトデンタルクリニック 池袋 新宿 品川 船橋 横浜 名古屋 大阪 福岡



突然ですが ひどい虫歯で悩んでいます 現在 18歳なのですが 鏡で Yahoo 知恵袋



ひどい虫歯の治療や審美歯科の症例集 巣鴨の歯医者 歯科医院



この虫歯やばいですよね 歯医者に行かないといけないのは分かってるけど 若 Yahoo 知恵袋




あなただけではない 歯がボロボロで歯医者に行けなかった方の治療法




上顎前歯のみの部分矯正は不可能で全体的に直さないといういけないでしょうか 矯正治療のスーパーカウンセラー 歯並びtv



ひどい虫歯症例その4 巣鴨の歯医者 歯科医院



こどものむし歯 矯正 女医 女性医師 のいる小児歯科 佐野市の歯科医院 おおた歯科 小児 矯正歯科クリニック




子供のすきっ歯を マウスピース矯正で治療しました 山内歯科多治見おとなこども矯正



歯がボロボロで酷い状況ですが 診て貰えますか




前歯が折れた 前歯の治療 どこでどんな治療しますか 健造デンタルクリニック




11年の歯科矯正が台なしになった女性の悲劇 健康 東洋経済オンライン 社会をよくする経済ニュース



尾張旭市の歯科 歯医者 矯正歯科 小児歯科 インプラントなら れい歯科クリニック 14年



2歳までのお子さんについて



こどものむし歯 矯正 女医 女性医師 のいる小児歯科 佐野市の歯科医院 おおた歯科 小児 矯正歯科クリニック




虫歯だらけの女が歯医者に通う話 歯医者トラウマだし 前歯ボロボロが綺麗になった ぺぺの映画備忘録




下の永久歯の生え方 斜め ハの字 は自然に治る 矯正した方がいい 歯科医監修 Kosodate Life 子育てライフ




自分の歯と一緒と思える総入れ歯 30歳女性 治療から1ヶ月を迎えて 東京都千代田区 稲葉歯科医院 総入れ歯専門サイト



高校2年生女子です 小学生から放置してた虫歯があるんですけど結構ひどくな Yahoo 知恵袋



汚い画像ごめんなさい 酷い虫歯で歯医者に行っていたのを治療途中 Yahoo 知恵袋



乳歯 虫歯 治療 画像 写真 歯茎 初期 前歯 抜歯名医 Gvbdo



こどものむし歯 矯正 女医 女性医師 のいる小児歯科 佐野市の歯科医院 おおた歯科 小児 矯正歯科クリニック



虫歯予防 上領歯科医院



こんにちは 高校生の女子です 私は銀歯が沢山あります小学校の時歯医 Yahoo 知恵袋



30代女性 歯の神経まで進んでいる虫歯を取り除き 歯の神経を取らずに保存した症例 香川県丸亀の歯医者さん みらい歯科クリニック



ひどい虫歯症例その4 巣鴨の歯医者 歯科医院



横浜 小児歯科 フッ素塗布 あおばデンタルクリニック 横浜市青葉区




28歳女性 虫歯治療編 ボロボロの前歯が驚きの変化 Youtube



調布市でインプラント 歯科医院 ムラタデンタルクリニック インプラントセンター併設 医院紹介




歯がボロボロで歯医者へ行くのが恥ずかしい 先生の本音は 歯のアンテナ




留学中に分かる 日本と海外の歯並びに対する意識の違い 留学コラム Iae留学ネット




歯が汚い女はモテない 歯が汚いといわれる芸能人と黒ずみや茶渋の落とし方 Menjoy



お母さんの歯並び教室




3 4歳児で虫歯がひどい 治療法は 進行は止まるの こそだてハック



横浜 小児歯科 フッ素塗布 あおばデンタルクリニック 横浜市青葉区



前歯の表面に小さい穴のようなものが2つ 3つできたのですが これ Yahoo 知恵袋




ショック 1歳で虫歯 エナメル形成不全と診断されて 体験談 年10月26日 ウーマンエキサイト 1 2




あれ 歯並びガタガタ 子どもの虫歯を放っておくと




1日でここまで 重度虫歯治療 Tooth Decay 1day Treatment Twenties Woman 歯医者 重度蛀牙治療 Cavity Youtube




子供のすきっ歯を マウスピース矯正で治療しました 山内歯科多治見おとなこども矯正



ひどい虫歯治療症例その6 矯正治療と補綴治療編




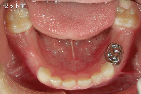
ひどい虫歯の治療例 22歳 女性 荻窪 歯医者 歯科 まうな歯科医院 荻窪駅南口 徒歩 1分




Decay 2




閲覧注意 虫歯でボロボロの女だけど質問ある 画像あり おちんぽみるく速報



2歳です これ虫歯ですよね 結構ひどいですか 前歯は半分になってしまいました Yahoo 知恵袋



高校生女です 前歯に何個か虫歯ができてしまいました 写真見にくいと Yahoo 知恵袋



恥ずかしながら虫歯がひどいです いまは 17歳なんですけど もう10年 Yahoo 知恵袋




ひどい虫歯の症例 29歳 荻窪 歯医者 歯科 まうな歯科医院 荻窪駅南口 徒歩 1分



Q Tbn And9gcttdbr2nbukzlgasyd6zdcqym9of7hum0nhre7xae7cgixwx7nz Usqp Cau




この写真を見ればわかる通り虫歯で前歯がこんな風に欠けてしまいました 歯の病気 教えて Goo




ひどい虫歯治療例38歳女性 重度歯周病 ひどい歯槽膿漏の治療室




ひどい虫歯治療例 重度歯周病 ひどい歯槽膿漏の治療室




ひどい虫歯の症例 29歳 荻窪 歯医者 歯科 まうな歯科医院 荻窪駅南口 徒歩 1分




大阪市梅田の歯医者 歯科医院 できるだけ痛くない無痛治療 梅新デンタルクリニック




ひどい虫歯治療例24歳女性 重度歯周病 ひどい歯槽膿漏の治療室




大人が行ってはいけない矯正歯科3タイプ President Woman Online プレジデント ウーマン オンライン 女性リーダーをつくる



Q Tbn And9gcswjsmyldqeoeislmig2gfxopmrkwlkhtktojvman8kiry5wgiv Usqp Cau



尾張旭市の歯科 歯医者 矯正歯科 小児歯科 インプラントなら れい歯科クリニック 14年




ひどい虫歯治療例 重度歯周病 ひどい歯槽膿漏の治療室




ひどい虫歯治療例 重度歯周病 ひどい歯槽膿漏の治療室




Blog 荻窪 歯医者 歯科 まうな歯科医院 荻窪駅南口 徒歩 1分 女性ドクターによるやさしい 丁寧な診療 Page 32 女性ドクターによるやさしい 丁寧な診療 Page 32



こどものむし歯 矯正 女医 女性医師 のいる小児歯科 佐野市の歯科医院 おおた歯科 小児 矯正歯科クリニック




大学1年生18歳の娘です 中学生の頃から 上の前歯2本が奥歯に押されるようにして だんだん前に出てきています 気になるのは上の前歯だけなのですが やはり全部を矯正する必要がありますか 矯正治療のスーパーカウンセラー 歯並びtv



中学生の女子です 歯磨きをした事がほとんどありません それって普通ですか 不登 Yahoo 知恵袋




ひどい虫歯治療例 重度歯周病 ひどい歯槽膿漏の治療室




茶色い乳歯は 虫歯 それとも着色汚れ 放置するのは 歯科医監修 Kosodate Life 子育てライフ




虫歯の写真 画像で見る進行度 ザ ホワイトデンタルクリニック




虫歯 ビフォー アフター症例写真集 ザ ホワイトデンタルクリニック 池袋 新宿 品川 船橋 横浜 名古屋 大阪 福岡




ひどい虫歯治療例 重度歯周病 ひどい歯槽膿漏の治療室




歯列矯正してるんですが前歯が虫歯になってしまい治してもらったんです オーラルケア ホワイトニング 歯科矯正 教えて Goo




高校生の頃に矯正をした 上顎だけ治療をし 八重歯と出っ歯を治しました のですが その後親知らずが生えたこともあってか 後戻りしてしまい 今では八重歯以外は元に戻ってしまい 前歯は矯正する前より出てしまった感じです 矯正治療のスーパーカウンセラー 歯並びtv




上顎前歯のみの部分矯正は不可能で全体的に直さないといういけないでしょうか 矯正治療のスーパーカウンセラー 歯並びtv



高3女子です この虫歯だとどれくらい進行してますか 回答お願いします Yahoo 知恵袋




写真あり 前歯が虫歯で折れました 保険内の治療は可能ですか 歯チャンネル歯科相談室




ひどい虫歯の治療例 22歳 女性 荻窪 歯医者 歯科 まうな歯科医院 荻窪駅南口 徒歩 1分




ボロボロの虫歯でも短期間 少回数で治療ok ザ ホワイトデンタルクリニック




写真あり 虫歯で見た目がひどい 歯チャンネル歯科相談室




あなただけではない 歯がボロボロで歯医者に行けなかった方の治療法




大阪市梅田の歯医者 歯科医院 できるだけ痛くない無痛治療 梅新デンタルクリニック



Q Tbn And9gcsqavojo6iqsjkxxcj3xxaan14 Sojl Xp4jcqtmyk Usqp Cau




3 4歳児で虫歯がひどい 治療法は 進行は止まるの こそだてハック




中度 アゴの骨折 それによるアゴのズレ さらに歯周病 ひどい虫歯による歯の崩壊 治療実績集 歯周病治療 大阪の歯科クリニック Mdental Studio




大阪市梅田の歯医者 歯科医院 できるだけ痛くない無痛治療 梅新デンタルクリニック



こどものむし歯 矯正 女医 女性医師 のいる小児歯科 佐野市の歯科医院 おおた歯科 小児 矯正歯科クリニック




虫歯の写真 画像で見る進行度 ザ ホワイトデンタルクリニック




1歳半検診で初期虫歯発覚 子供を虫歯にさせるのは虐待か なんでもない私の ひとつひとつ




下の永久歯の生え方 斜め ハの字 は自然に治る 矯正した方がいい 歯科医監修 Kosodate Life 子育てライフ




30代女性 深い虫歯と銀歯のセラミック 治療例 表参道しらゆり歯科



ひどい虫歯の症例 その4




前歯が折れた 前歯の治療 どこでどんな治療しますか 健造デンタルクリニック



閲覧注意 現在歳女です 前歯に虫歯 が出来てしまい Yahoo 知恵袋



女性 日光の歯医者 沼尾デンタルクリニックです 虫歯治療と歯周病専門医と小児歯科




子供のすきっ歯を マウスピース矯正で治療しました 山内歯科多治見おとなこども矯正




ギャース サホライドで真っ黒な虫歯 治療完了しました Pinkysmile Info Togather




写真あり 虫歯で酷い状態ですが保険適用で治療できますか 歯チャンネル歯科相談室




30代女性の大量虫歯 歯科治療恐怖症の為 眠った状態で治療 2時間でここまでやれるの Tooth Decay 1day Treatment Twenties Woman 重度蛀牙治療 Youtube
0 件のコメント:
コメントを投稿